
Надежные и проверенные временем металлические брекеты обеспечивают в опытных руках ортодонтов БИЭМ эффективное исправление прикуса любой сложности во всех возрастных категориях. В зависимости от показаний, а также от пожеланий пациента и его бюджета, мы подберем наиболее оптимальный вариант системы.
Это несъемная ортодонтическая конструкция, которая механически воздействует на зубы в зубном ряду, постепенно перемещая их в заранее расчитанное нужное положение.
Классические металлические брекеты состоят из небольших замочков – брекетов, ортодонтической дуги с памятью формы и фиксируюих элементов – лигатур или клипсов. Замочки прочно приклеиваются к эмали, дуга последовательно выпрямляется и «толкает» зубы в правильное положение.
Безопасность.
Для металлических брекет систем используются современные гипоаллергенные сплавы на основе медицинской стали, титана или никель-титана, которые проходят строгий контроль безопасности и обладают высокой биосовместимостью с тканями полости рта. Аллергии на эти металлы встречаются крайне редко. Современные сплавы позволяют сочетать высокую прочность с контролируемой эластичностью дуги. Это даёт врачу возможность планировать перемещения зубов поэтапно и прогнозируемо.
Лигатурные металлические брекеты на верхней челюсти.
Металлические брекет-системы являются самым универсальным инструментом ортодонта, способным справиться с аномалиями прикуса любой степени тяжести. Они эффективно устраняют:
Благодаря высокой прочности конструкции, именно ортодонтические аппараты из металла позволяют вытягивать непрорезавшиеся (ретинированные) зубы и корректировать серьезные скелетные деформации, с которыми более хрупкие эстетические системы или элайнеры могут не справиться.
Лечение пациентов старше 20–25 лет требует особого подхода, так как костная ткань уже сформирована. Именно металлические брекеты взрослым позволяют решить задачи любой сложности: от подготовки места под имплантацию до исправления тяжелых скелетных деформаций.
В итоге вы получаете стабильный долгосрочный результат и восстановление правильной функции зубочелюстной системы.
В период активного роста челюстей крайне важно не упустить момент для коррекции прикуса. Мы рекомендуем устанавливать металлические брекеты подросткам, так как они отличаются высокой прочностью, не зависят от дисциплины подростка при ношении – врачу проще эффективно контролировать перемещение зубов и добиться идеального результата.
Для родителей это гарантия спокойствия, а для подростка — ровная улыбка и уверенность в себе на всю жизнь.
До 12 лет брекеты используются реже (обычно это частичные системы в сложных случаях исправления прикуса), так как для ранней коррекции чаще применяют съемные пластинки или трейнеры. Для несъемных металлических брекет-систем необходимо, чтобы у ребенка большинство зубов уже поменялось на постоянные.
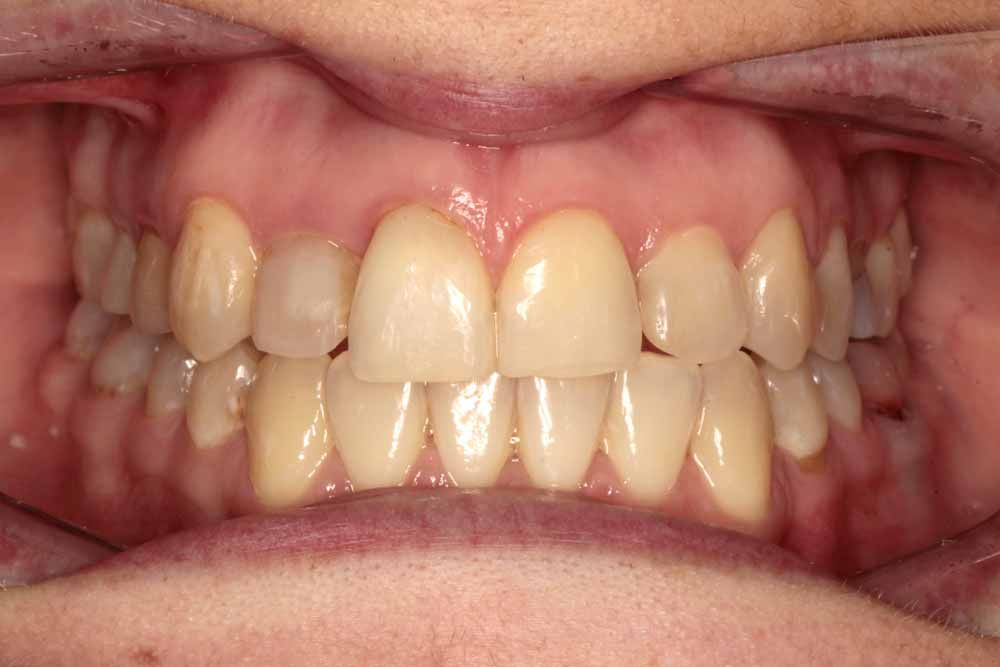
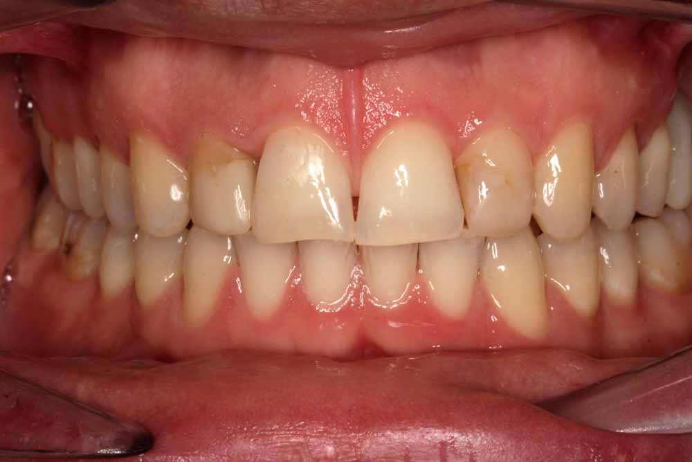
Брекеты выравнивают зубы и улучшают улыбку, но мы не ограничиваемся только эстетикой. В БИЭМ мы работаем с функцией всей зубочелюстной системы: положением челюстей, суставов и работой жевательных мышц. При признаках дисфункции височно-нижнечелюстного сустава (щелчки, боли, перегрузка) мы обязательно проводим функциональную коррекцию.
Почему это важно:
Недостаточно просто «поставить зубы ровно». Если не учитывать состояние и функцию суставов и мышц, спустя время могут появиться щелчки в ВНЧС, головные боли, чувство напряжения. Для профилактики мы проводим функциональную диагностику жевательной мускулатуры и оцениваем работу ВНЧС.
Диагностика помогает спланировать движение зубов так, чтобы нагрузка распределялась равномерно, а прикус был не только красивым, но и физиологичным.
При игнорировании работы суставов и мышц есть риск рецидива — зубы могут частично вернуться в прежнее положение. Коррекция функции снижает вероятность отката результата после снятия брекетов.
Это традиционные системы, в которых дуга крепится к замку (брекету) с помощью эластичных резинок или тонких проволочек — лигатур.
Или, другими словами, самолигирующие металлические брекеты. В этих конструкциях дуга фиксируется встроенным замком, лигатуры не нужны. Это наиболее современный вариант безлигатурных систем, обеспечивающий физиологичное выравнивание зубного ряда действием слабых сил (например, брекеты Damon).
Брекеты наклеиваются с небной и язычной стороны зубов и практически незаметны.
| Тип брекетов | Преимущества | Недостатки |
|---|---|---|
Металлические лигатурные брекеты | Доступные, прочные, наиболее широко применяемые. | Менее эстетичные, требуются более частые активации, меньшая упругость, меньше коррозионная стойкость. |
Безлигатурные брекеты | Эстетичнее, не требуются лигатуры; требуется меньше силы для перемещения зубов; меньше количество активаций; лучше гигиена. | Сложный механический дизайн; более высокая стоимость; риск поломки клипа или механизма. |
Лингвальные брекеты | Максимально эстетичны, полностью скрыты. | Может сильнее нарушаться речь, непрямой доступ затрудняет точную установку; возможны травмы языка; большее время приёма из-за сложности фиксации дуги. |
Мы применяем в нашей клинической практике только сертифицированные металлические брекет системы от лучших мировых производителей брекет-систем, например:
Выбор оптимального варианта и бренда зависит от клинической задачи, пожеланий и бюджета пациента. На консультации наш врач ортодонт объяснит, какие металлические брекеты лучше конкретно в вашей ситуации.
В Бостонском Институте Эстетической Медицины (Москва) лечение металлическими брекетами проходит по заранее расчитанному плану с количеством визитов и сроков ношения.
Средний срок лечения на металлических брекетах составляет от 1,5 до 2 лет, в зависимости от сложности случая.
Осмотр ортодонта, фотопротокол, 3D-сканирование, рентгенологическое обследование и, при необходимости, нейромышечная диагностика. На этом этапе уточняются жалобы, цели лечения, предварительные сроки.
По цифровым слепкам и диагностическим моделям ортодонт:
Готовый план подробно согласовывается с пациентом перед началом терапии.
При необходимости проводится лечение кариеса, замена некачественных пломб, профессиональная гигиена, терапия заболеваний дёсен, удаление зубов мудрости или других мешающих зубов. Цель подготовительного этапа — начать ортодонтическое лечение в здоровой и безопасной среде.
Зубы очищаются, эмаль подготавливается с помощью протравливания и нанесения адгезива. Брекеты фиксируются в строго определённых точках с использованием композитного материала. После установки замочков в пазы вводится дуга и удерживается встроенными клипсами самолигирующего механизма или лигатурами. Система начинает работать сразу, мягко направляя зубы в нужное положение.
По мере перемещения зубов напряжение в дуге снижается, поэтому на контрольных визитах ортодонт меняет дуги или выполняет их активацию. Это поддерживает движение зубов в нужном направлении. Интервалы между визитами составляют примерно 4–8 недель и зависят от стадии лечения и выбранной брекет системы.
После завершения активной фазы и снятия брекетов устанавливаются съёмные или несъёмные ретейнеры, удерживающие достигнутое положение зубов до полной перестройки костной ткани. Вид ретейнера и продолжительность ретенционного периода определяет врач.
Эта стадия обязательна, поскольку долгосрочная стабильность результата напрямую зависит от соблюдения рекомендаций по ношению ретейнеров.
На металлические брекеты цена обычно ниже, чем на керамические или сапфировые аналоги или на элайнеры. Итоговая стоимость всегда рассчитывается индивидуально после полной диагностики. Факторы, влияющие на цену:
Железные брекеты — это просто разговорное, некорректное название металлических брекетов. Брекеты из нержавеющей стали – более корректное название. В современной стоматологии железо в чистом виде не применяется, используются только безопасная медицинская сталь и титановые сплавы.
Сами по себе брекеты абсолютно безопасны, так как их материал биоинертен. Повышенный риск развития кариеса возникает из-за плохой гигиены.
Решая, какие металлические брекеты лучше, мы отталкиваемся от вашей клинической картины и бюджета. Самолигирующие системы работают мягче и быстрее, но стоят дороже, а лигатурные — это надежный и бюджетный вариант.
Фиксированной цены нет, так как у всех индивидуальная ситуация. Чтобы точно узнать, сколько стоят металлические брекеты в вашем случае, приглашаем вас на консультацию и диагностику.
Элайнеры – максимально эстетичный и комфортный способ выравнивания зубов, но требует высокой самодисциплины (их нужно носить 22 часа в сутки). Брекеты — несъемная конструкция, которая справляется с любыми нарушениями прикуса без вашего участия.
Плюсы:
Минусы:
БИЭМ – это американская клиника эстетической и функциональной стоматологии и имплантологии + только у нас – клиника здорового сна.
БИЭМ – регулярно входит в ТОП победителей лучших клиник России рейтинга StartSmile при поддержке Forbes.
Рассматривая организм человека как единое целое, мы можем подобрать самую эффективную терапию. При этом пациенту удается не только обрести эстетичную внешность, но и решить множество сопутствующих проблем.
позволяет нам справляться со сложными случаями, от которых отказываются другие клиники.
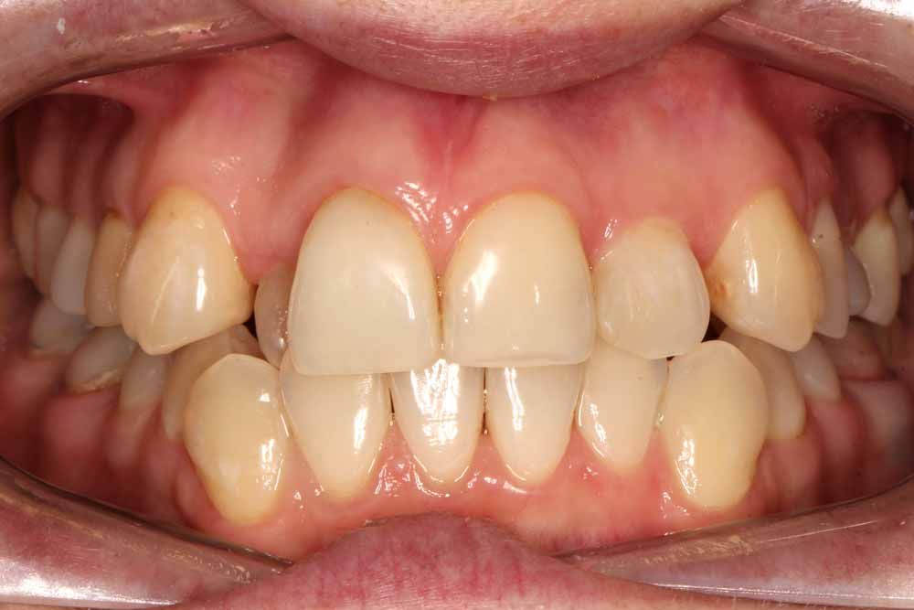
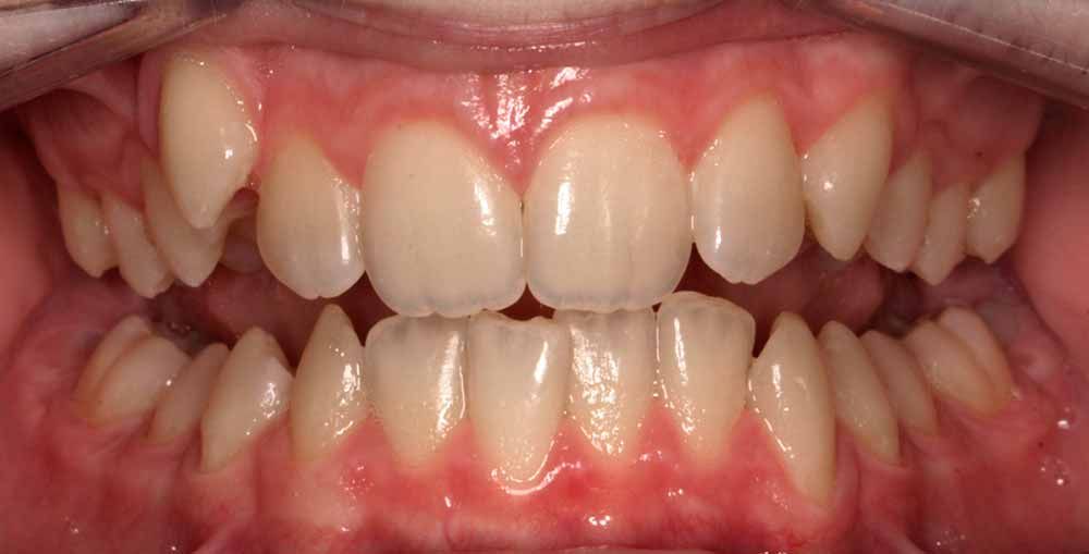
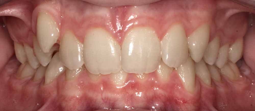
Выберите отзыв и узнайте историю лечения полностью. Больше фото и видео отзывов в галерее БИЭМ Москва →