
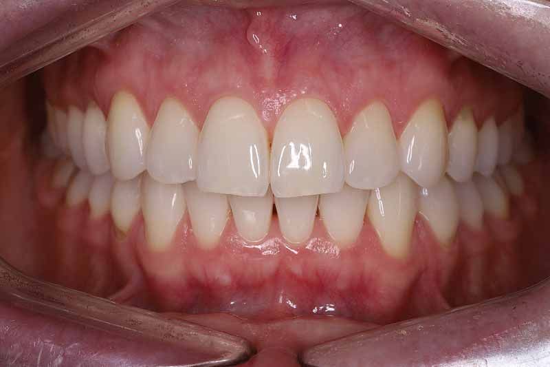
– незаметны на зубах, комфорт
– лучше, чем брекеты
– не мешают целоваться
– у нас самый большой опыт в России
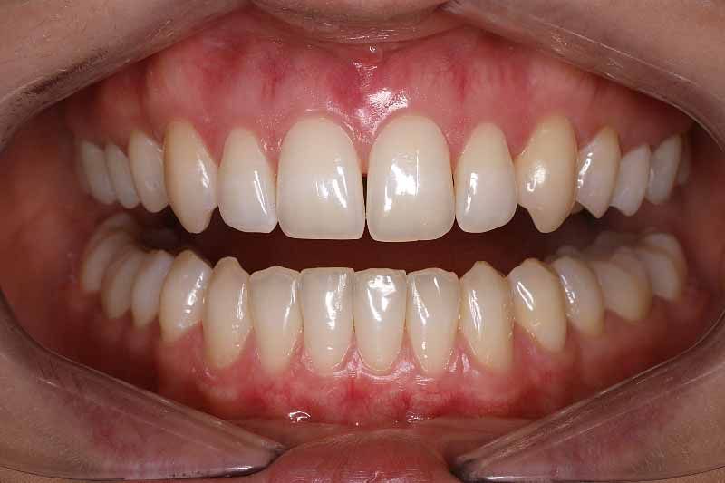
Все преимущества прозрачных капп инвизилайн
Практически незаметны на зубах
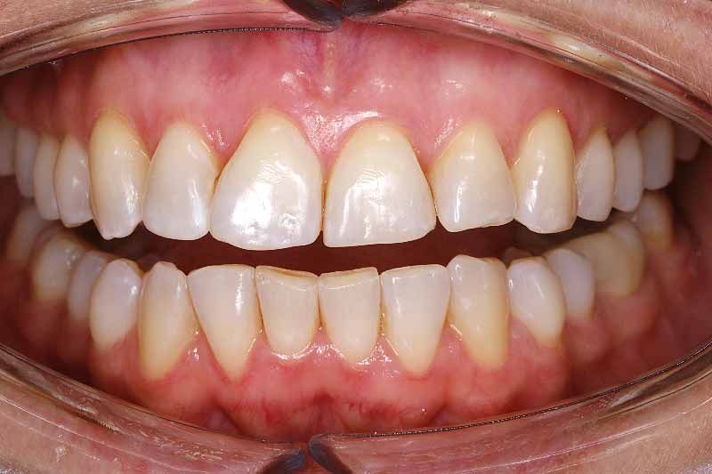
Широкий спектр исправляемых патологий
Точный, прогнозируемый результат
Легко ухаживать, нет риска кариеса
Меняете каппы сами – меньше повторных приемов у врача
Эффективны и в сложных случаях
Перемещение каждого зуба точно просчитано
Мы покажем вам будущий результат до начала лечения
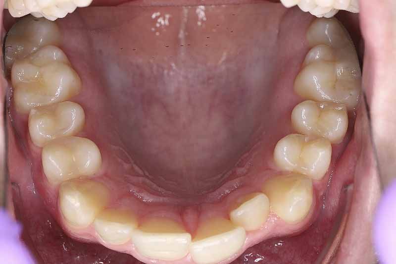
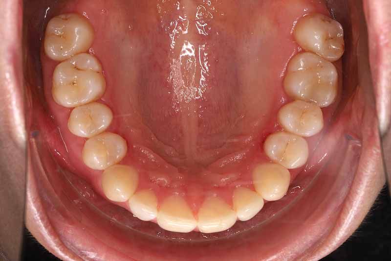
Съемные – нет ограничений ни в гигиене, ни в приеме пищи
Можно целоваться! И не влияют на дикцию
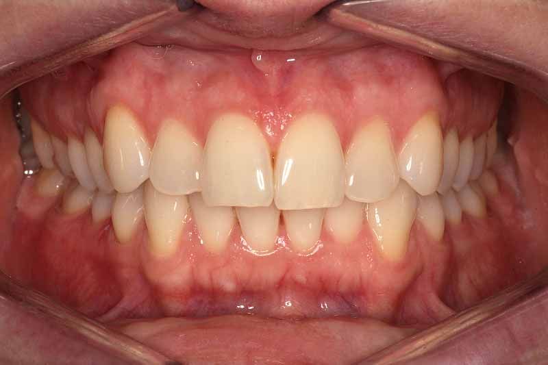
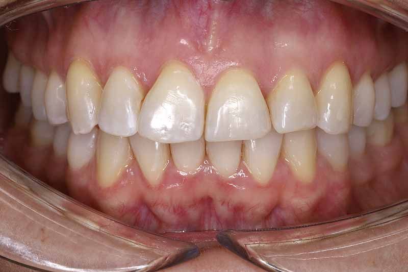
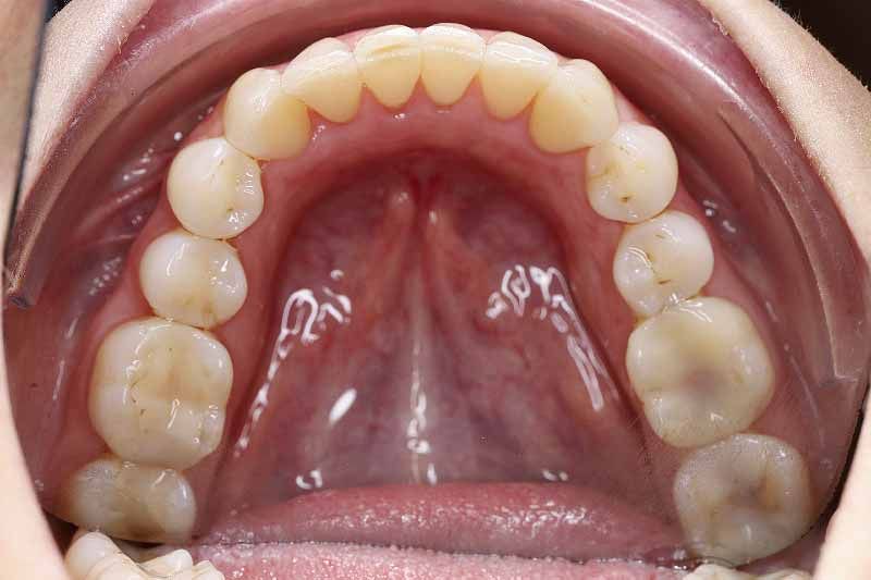
Мы исправляем практически любые нарушения прикуса у взрослых, подростков и детей. Наши американские и российские ортодонты обладают большим опытом (20 – 30 лет), в том числе и лечения сложных случаев. Методики нейромышечной стоматологии, которые мы применяем, укорачивают сроки ношения и делают результат хорошо прогнозируемым. Вот наиболее распространенные патологии прикуса, которые мы успешно исправляем:
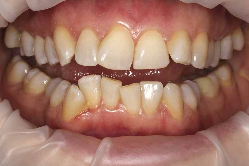
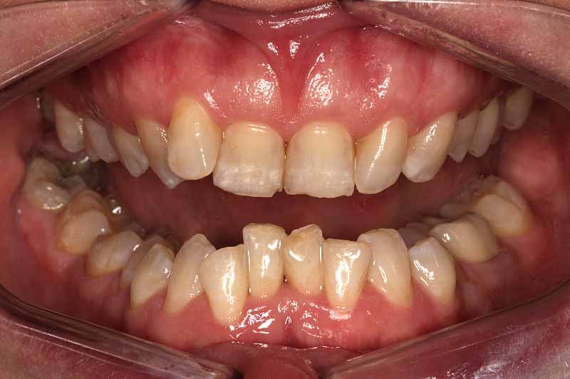
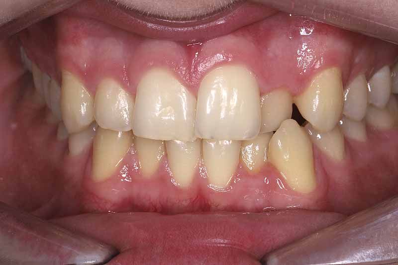
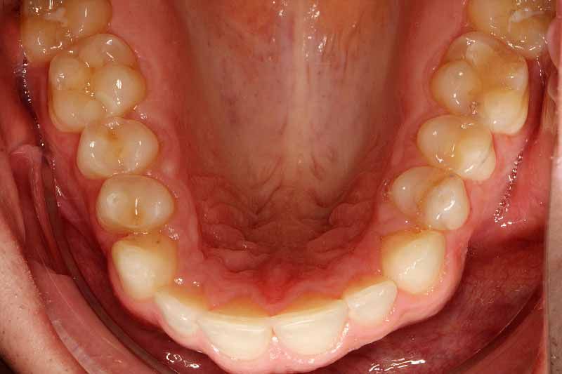
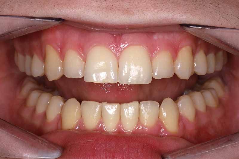
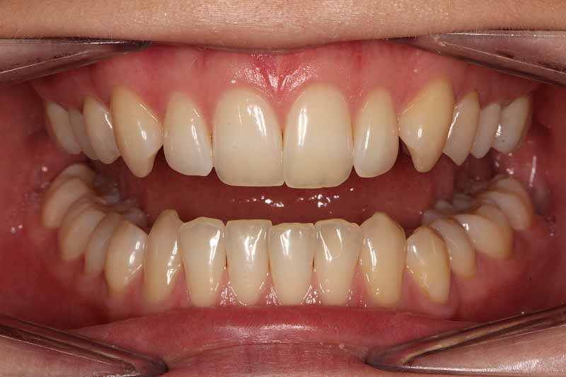
Скученное расположение зубов из-за недостатка места в зубном ряду. Помимо плохой эстетики увеличивается риск появления кариеса и заболеваний десен.
При открытом прикусе передние зубы верхней и нижней челюстей не смыкаются, остается щель. Нарушается жевание, речь и могут возникнуть заболевания височно-нижнечелюстного сустава.
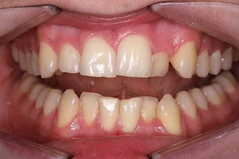
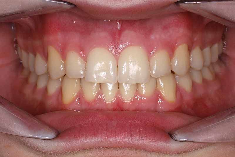
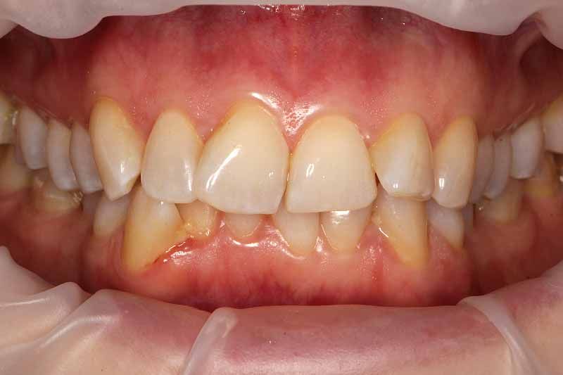
Верхние передние зубы перекрывают нижние больше, чем на половину коронки. Это не только выглядит некрасиво, но и может вызвать повреждение зубов иповышенную стираемость эмали, проблемы с височно-нижнечелюстным суставом.
Нижняя челюсть смещена в сторону и нарушено перекрытие между верхними и нижними зубами. Приводит к ассимметрии лица, также нарушается функция жевания и повреждается височно-нижнечелюстной сустав.
Увеличенные промежутки между зубами приводят к постоянной травматизации десен во время еды, с их последующим воспалением и возникновеним «карманов».
Верхняя челюсть сильно смещена вперед по отношению к нижней и при смыкании зубов образуется щель между верхними и нижними резцами.
При этом нижняя челюсть выступает вперед относительно верхней. Нижние резцы перекрывают верхние. Часто образуется промежуток между верхними и нижними передними зубами.
Индивидуальный план
расчет длительности лечения
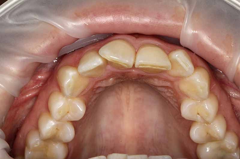
Сканируем при помощи i-Tero сканера ваши зубы и строим 3D-модель вашего прикуса. По этой модели будет точно рассчитано, как должны передвигаться зубы, чтобы получить желаемый результат.
Этот процесс и именно с вашими зубами вы сможете увидеть в анимированном ролике уже до начала лечения. Кроме того на этом этапе рассчитывается примерная длительность ношения элайнеров.
После изготовления элайнеров на фабрике Invisalign наступает время первой примерки у нас в клинике. Носить каппы нужно 20-22 часа в сутки, снимая по необходимости. Вы получите первый комплект прозрачных капп и точные рекомендации врача.
Через определенное время – обычно это 1-2 недели, самостоятельно меняете элайнеры на новые и носите следующие 1-2 недели. Все каппы пронумерованы в соответствии с планом лечения, перепутать невозможно.
Начало ношения капп
Инвизилайн работает сам
Регулярный контроль
Периодический контроль
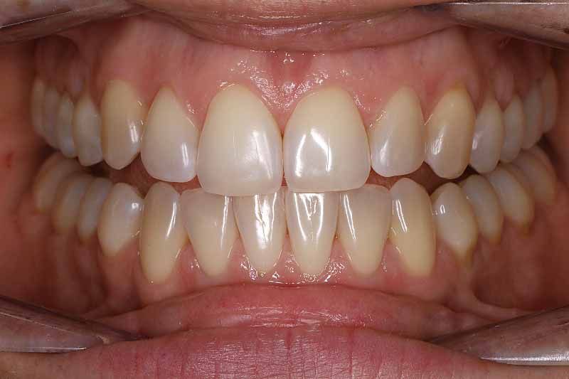
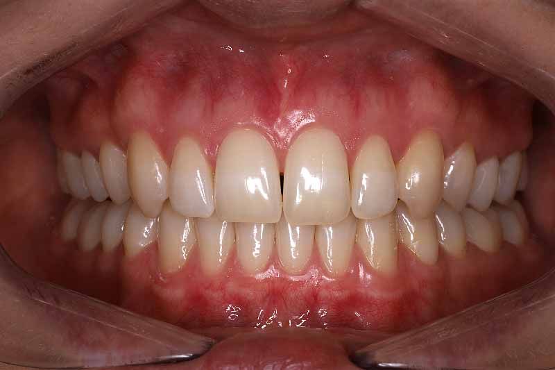
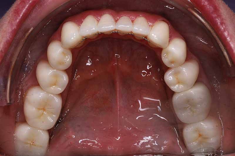
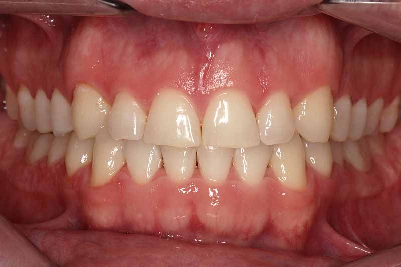
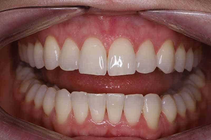
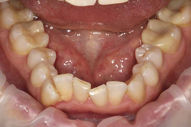
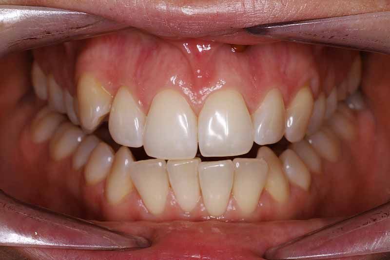
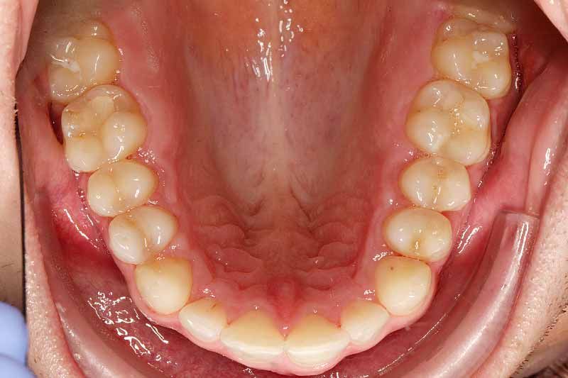
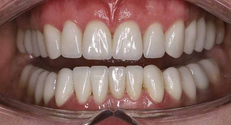
Прогресс лечения налицо
Закрепление успеха
Периодически, но реже чем при ношении брекетов, нужно будет приходить к нам на контроль и для получения очередного комплекта элайнеров.
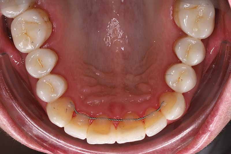
После окончания активного периода лечения некоторое время необходимо носить ретейнеры – это тоже прозрачные каппы, которые поддерживают новое правильное положение ваших зубов.
Определить цену лечения и установки элайнеров в БИЭМ Москва можно только после посещения стоматолога. На начальном этапе проводится осмотр ротовой полости, выполняется диагностика, определяется объем работ и составляется подробный план лечения.
На основании результатов обследования определяется время лечения и рассчитывается стоимость лечения прозрачными каппами инвизилайн.
Изначально технология имела ограничения в применении. Система invisalign подходила только для лечения несложных зубочелюстных аномалий. Например, при незначительной скученности зубов или щелях между ними.
Сегодня развитие технологии инвизилайн и накопленный врачебный опыт лечения по этой методике позволяют решать любые, даже самые сложные проблемы. Врачи БИЭМ используют технологию с первого дня ее появления и за более чем 25-летний период вылечили около 3 тысяч пациентов.
Во многих случаях методика более эффективна по сравнению с обычными брекетами: и по срокам и по конечному результату.
Мы не ограничиваемся одной лишь эстетикой, мы уделяем большое внимание правильной функции всей зубочелюстной системы. Для этого мы проводим специальную функциональную диагностику жевательной мускулатуры и проверяем работу внчс. Если работа мышц и суставов разбалансирована и наблюдаются симптомы дисфункции височнонижнечелюстного сустава, проводится функциональная коррекция. При этом мы используем цифровые методы нейромышечной стоматологии.
Элайнеры для выравнивания зубов подходят для всех пациентов старше 11 лет. Других ограничений практически нет.
Элайнеры изготовлены из специального прозрачного термопластика для медицинских целей. Пластиковые каппы тонкие и плотно и точно прилегают к зубам, так как изготавливаются индивидуально по цифровым слепкам.
Каппы осуществляют постоянное слабое давление на зубы, вызывая рассасывание костной ткани альвеолы в направлении движения этого зуба и образование новой костной ткани там, откуда зуб «ушел». Таким образом зуб постепенно перемещается по заданной траектории в свое конечное положение.
Траектория движения каждого зуба и его конечное положение точно рассчитывается заранее. А тот факт, что элайнеры со всех сторон облегают коронку зуба (а значит и воздействуют на нее), увеличивает точность и предсказуемость перемещения зубов.
Неприятные ощущения, чувство давления на зубы особенно в начале лечения, могут быть и являются нормальными симптомами – это значит что элайнеры работают и зубы начали свое движение к вашей новой красивой улыбке.
Кроме того, поначалу может быть ощущение инородного предмета во рту, которое быстро проходит. Как правило, все пациенты быстро привыкают к каппам.
Длительность лечения индивидуальна, зависит от вашей конкретной ситуации с прикусом/зубами и рассчитывается доктором еще до начала лечения. Исправление прикуса элайнерами обычно происходит быстрее, чем при использовании брекетов. В зависимости от сложности, лечение ими может быть на 30 – 40 % короче.
Ваша дисциплинированность во время ношения капп, точное следование рекомендациям врача также влияет на длительность лечения.
Только наши пациенты могут проходить исправление прикуса брекетами или элайнерами практически в два раза быстрее. С 2013 года мы используем для этого уникальную технологию, разработанную учеными NASA (НАСА), ускоряющую ортодонтическое лечение.
Если за зубами в брекетах требуется трудоемкий уход, без которого человеку грозит кариес и могут возникнуть проблемы с деснами, то с элайнерами режим гигиены полости рта остается стандартным. Вы просто снимаете каппы и чистите зубы как обычно.
Никакого специального ухода не требуется. Достаточно периодически промывать каппы водой и чистить зубной щеткой.
Для приема пищи, гигиены полости рта каппы просто снимаются, а затем снова одеваются.
Нежелательно курение с каппами во рту.
Не менее 20 – 22 часов в сутки. Это важно и влияет на качество и длительность лечения.
Как противопоказания можно выделить:
Во всех случаях выбор метода лечения остается за доктором.
Выберите отзыв и узнайте историю лечения полностью. Больше фото и видео отзывов в галерее БИЭМ Москва →