

Пассивные самолигирующие брекеты Damon Q с мягким и предсказуемым действием разработаны и внедрены американской компании Ormco, одной из ведущих мировых компаний в ортодонтии. Система создана специально для того, чтобы выравнивание зубов проходило максимально физиологично: с плавными, контролируемыми перемещениями и минимальным дискомфортом. За десятилетия применения миллионы пациентов по всему миру исправили прикус и получили гармоничную улыбку именно на таких системах.
В клинике БИЭМ Санкт-Петербург мы используем брекет систему Damon Q у подростков и взрослых пациентов, когда важно совместить три задачи:
На каждый зуб фиксируется брекет, через все брекеты проходит дуга из сплава с «памятью формы». Дуга стремится принять исходную форму и постепенно перемещает зубы в позицию правильного прикуса, которую заранее планирует ортодонт. Особенности, за которую ортодонты БИЭМ СПб и пациенты ценят брекет систему Damon:
Клипса не прижимает дугу ко дну паза слишком плотно, за счёт чего снижается трение между дугой и брекетом. Именно поэтому самолигирующие брекеты Q позволяют использовать сравнительно слабые, длительно действующие силы. Давление на пародонт ниже, а значит меньше риск осложненний; зубы двигаются более мягко и адаптация пациента при исправлении прикуса брекетами Damon проходит легче.
Брекет система Damon подходит пациентам практически всех возрастов, начиная с подросткового периода. Детям и подросткам мы чаще всего устанавливаем брекеты в возрасте от 11 – 14 лет, когда уже прорезалось большинство постоянных зубов.
Взрослым пациентам брекеты Damon ставятся после полной диагностики и санации полости рта; возраст сам по себе не является противопоказанием. Хорошее состояние зубов, корней и тканей пародонта является решающим условием.
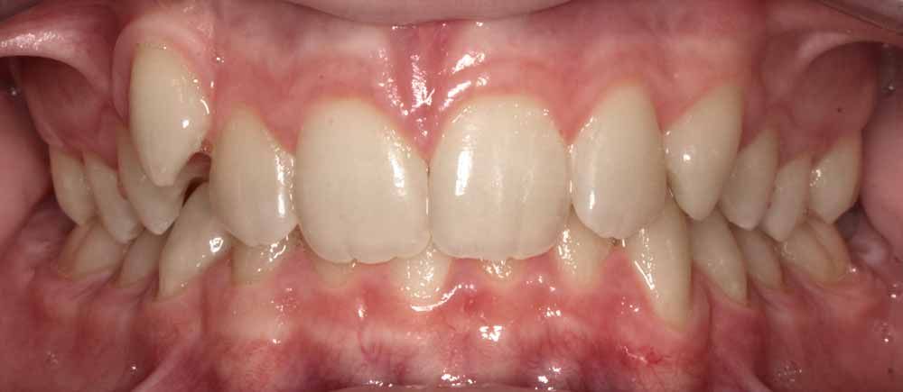
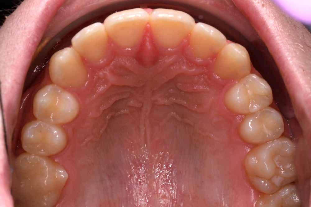
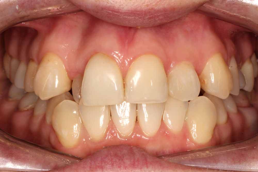
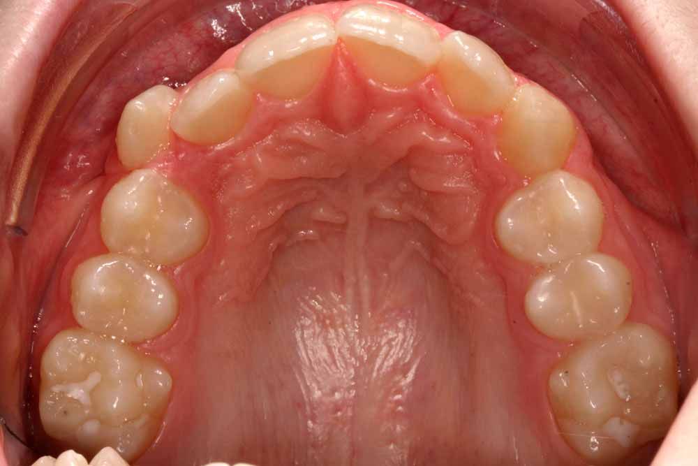
В БИЭМ Санкт-Петербург мы применяем систему при таких нарушениях прикуса, как:
Система Damon стала популярной благодаря сочетанию инновационных инженерных решений и большой базе успешных клинических случаев. Для врача и пациента это выражается в нескольких практических плюсах:
Меньше трения и мягкие силы
Пара «дуга – брекет» работает с минимальным сопротивлением. Это позволяет применять меньшие по величине силы, действующие при этом дольше. Зубы перемещаются плавно, обычно с меньшей болезненностью в первые дни после после начала лечения или очередной активации.
Более редкие визиты
За счёт мягкой и длительной работы дуг часто можно реже вызывать пациента на активацию по сравнению с классическими лигатурными системами. Это не значит, что к врачу нужно ходить редко, но график можно подстроить под ваш образ жизни.
Удобство и гигиена
Компактные замочки, отсутствие лигатурных резинок и продуманные контуры брекета облегчают привыкание и уход. Пациенту легче чистить зубы вокруг брекетов, что напрямую влияет на здоровье дёсен и отсутствие кариеса вокруг замков.
Широкие дуги и «полная» улыбка
В протоколах Damon уделяется внимание форме дуги и расширению зубных рядов там, где это возможно. В результате можно получить более «широкую» улыбку, а не только ровные передние зубы.
Важно понимать, что сами по себе ни металлические брекеты Damon, ни керамические не гарантируют идеальный результат. На первом месте стоит опыт и специальная подготовка ортодонта, умение правильно поставить диагноз и рассчитать движение зубов в заданное положение и с нужной скоростью.
Врачи БИЭМ Санкт-Петербург не просто владеют ортодонтическим лечением брекетами даймон Q и Q2, но и используют дополнительные методики (см. ниже).
Выровнять зубы можно в разных клиниках, но не везде одинаково внимательно относятся к функции всей зубочелюстной системы. В БИЭМ мы изначально рассматриваем не только зубы, но и суставы, мышцы, дыхание и осанку – это входит в комплексный подход к диагностике и лечению наших пациентов.
Почему это важно:
Если ограничиться только выравниванием зубов, со временем могут появиться:
Чтобы этого избежать, мы проводим функциональную диагностику: оцениваем работу ВНЧС, тонус мышц, привычное положение нижней челюсти. При необходимости подключаем дополнительные методы лечения до или параллельно с ортодонтическим этапом.
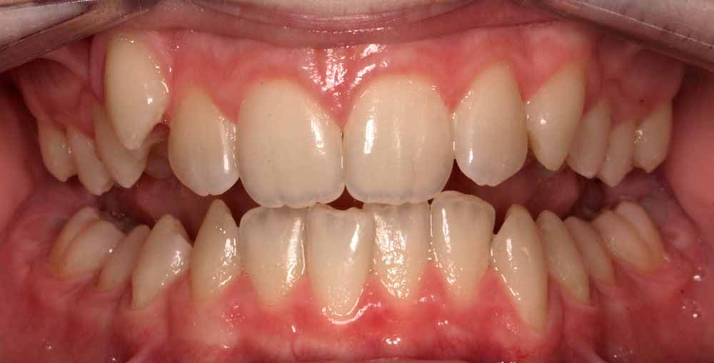
Планируя исправление прикуса брекетами Damon, врач анализирует КТ/рентгеновские снимки, фотопротокол, 3D-скан зубов. На основе этих данных выстраивается траектория перемещения каждого зуба так, чтобы нагрузка в зубочелюстной системе распределялась равномерно.
При игнорировании работы суставов и мышц выше риск рецидива: зубы через пару лет могут вернуться обратно.
Основной вариант, который мы используем в БИЭМ СПб, – металлические брекеты Damon Q. Это компактные и надёжные замки, хорошо работающие при скученности, поворотах зубов и сложных аномалиях прикуса. Подходят взрослым и подросткам.
Damon Q2 брекеты – это следующее улучшенное поколение системы Damon Q, которое учитывает накопленный клинический опыт: изменённая геометрия паза и клипсы ещё точнее контролирует дугу, а врачу проще управлять биомеханикой.
Это эстетический вариант того же бренда. Сами брекеты изготавливаются из керамики и малозаметны на зубах. Дуга – металлическая, такая же как у металлических брекет-систем Damon Q. Подходят прежде всего взрослым с повышенными требованиями к эстетике.
© БИЭМ. Пациентка БИЭМ СПб с керамическими брекетами Damon Clear.
Видео-отзыв пациентки здесь.
На основе цифровых данных наш ортодонт:
Перед тем как начнётся установка брекетов Damon Q, мы приводим полость рта в порядок:
Задача – чтобы длительное лечение проходило в здоровой полости рта.
Процедура совершенно безболезненная и занимает в среднем 1,5–2 часа:
После установки начинается активный этап лечения:
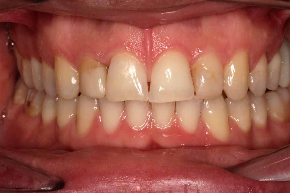
Со снятием брекетов Damon Q заканчивается активная фаза лечения. Чтобы зубы не вернулись обратно, мы устанавливаем ретейнеры:
Сроки ношения съемных ретейнеров определяет врач. От дисциплины пациента на этом этапе во многом зависит, насколько долго сохранится результат.
Стоимость лечения в филиале БИЭМ СПб зависит от:
В первые 3–5 дней после фиксации и смены дуг большинство пациентов ощущают давление и «ноющую» боль – это нормально, зубы начинают двигаться. За счёт того, что это пассивные самолигирующие брекеты с действием слабых сил, дискомфорт обычно переносится легче, чем в активных системах.
Пломбы, вкладки и коронки не мешают лечению, если они выполнены качественно. Перед установкой врач оценивает их состояние, при необходимости рекомендует замену. На некоторые коронки брекеты фиксируются особой техникой. В подавляющем большинстве случаев установка брекетов Damon Q возможна даже при наличии сложных реставраций.
Средняя длительность лечения на брекетах Damon – от 12 до 24 месяцев. Простые случаи (небольшая скученность, без серьёзных нарушений прикуса) иногда укладываются в 10 – 14 месяцев, сложные – могут занимать больше двух лет. Срок зависит от исходного диагноза, возраста, соблюдения рекомендаций и регулярности визитов.
Классические системы фиксируют дугу лигатурами. В брекетах Damon и Damon Q дуга защёлкивается в паз клипсой, поэтому это безлигатурные брекеты. Для пациента это значит:
Нет, это не запчасти и не лекарства. В свободной продаже их нет – ортодонтические аппараты поставляются только клиникам через специализированные и сертифицированные магазины.
Иногда перед лечением действительно нужно удалить «восьмёрки» или другие зубы, провести пародонтологическую подготовку. Решение принимается индивидуально после диагностики. Мы обсуждаем с нашими пациентами разные варианты и объясняем, как каждый из них повлияет на сроки и прогноз.
Технически это возможно, но далеко не всегда оправдано. Прикус – это взаимоотношения двух челюстей, и часто выравнивание только одного зубного ряда даёт нестабильный результат. Ортодонт рассмотрит такой вариант, но решение будет зависеть от клинической картины, а не только от желания пациента.
Нужно:
Это снижает риск кариеса и воспаления дёсен вокруг замков.
Ничем, это разные названия брекет системы Damon Q.
БИЭМ – это американская клиника эстетической и функциональной стоматологии и имплантологии + только у нас – клиника здорового сна.
БИЭМ регулярно входит топ лучших клиник России рейтинга StartSmile при поддержке Forbes.
Мы рассматриваем человека как целостную систему и подбираем терапию, которая даёт оптимальный результат: не только улучшение эстетики и функции в челюстно-лицевой области, но и решение сопутствующих проблем со здоровьем всего организма.
Опыт и квалификация наших ведущих врачей позволяют успешно вести сложные клинические случаи — даже те, от которых отказываются другие клиники. Прием ведет американский доктор – Константин Ронкин – более 40 лет практики в США и России.
Выберите отзыв и узнайте историю лечения полностью. Больше фото и видео отзывов в галерее БИЭМ Москва →